Especialistas en Cardiología Fetal

Especialistas en Cardiología Fetal

Aproximadamente uno de cada diez bebes en la etapa fetal presentará algún problema a lo largo de su vida en el interior del útero materno, cada año nacen en Perú, 5000 niños con cardiopatía congénita, el 70% necesitará tratamiento quirúrgico en algún momento de su vida, y de este grupo los más graves aproximadamente 25% necesitarán cirugía al nacer, por lo que es muy importante su diagnóstico oportuno y tratamiento adecuado.

Cardiopatías Congénitas

¿Qué son las Cardiopatías Congénitas?

Son problemas en el desarrollo de la formación del corazón y vasos sanguíneos, y representan la principal causa de mortalidad infantil evitable en el Perú, pueden ser detectados con un estudio de imágenes llamado ecocardiografía fetal.

Factores de Riesgo

¿Cuáles son los factores de riesgo para una Cardiopatía?

Aproximadamente en el 90-93% de las embarazadas se desconoce el factor de riesgo, el principal motivo de estudio es la sospecha del médico que realizo una ecografía obstétrica de rutina.

Otros factores son familia con cardiopatía congénita, genéticos y ambientales como la diabetes materna, algunos medicamentos, exposición a productos químicos e industriales.

Cómo saber

¿Cómo saber si me bebe tiene un problema en su corazón?

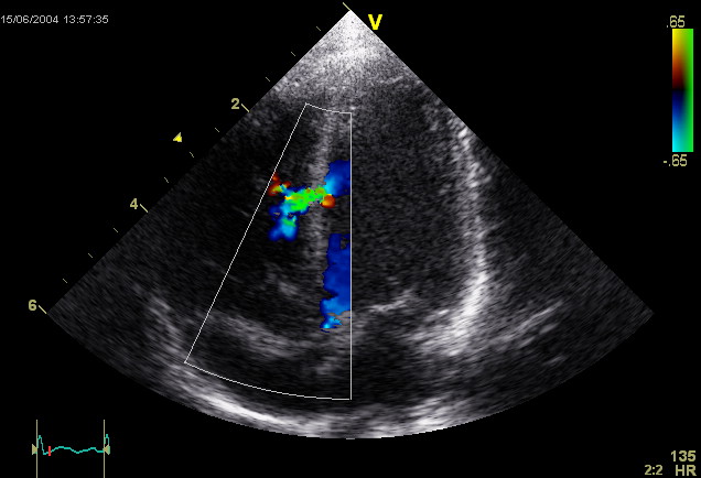
El estudio de certeza es la ecocardiografía, se recomienda en la semana 13-14 y 18-24 semanas, sin embargo, se puede realizar en cualquier momento del embarazo.

Tratamiento previo

¿Se puede tratar las cardiopatías antes de nacer?

Algunos problemas estructurales y trastornos del ritmo cardiaco se pueden beneficiar con administración de medicación y/o procedimientos de cateterismo cardíaco fetal, que consiste en la introducción de catéteres dentro del corazón del bebé, en los casos que requieran cirugía al nacer es planificar el parto en una institución que disponga de la infraestructura y equipo humano especializado.

¿QUÉ HACEMOS?

“Te ofrecemos información e investigación sobre las enfermedades cardíacas más frecuentes en la etapa fetal y pediátrica”

Realizamos ecocardiografía fetal, de forma exclusiva utilizamos la tecnología 3D/4D de alta definición, que permite diagnósticos cardiológicos de precisión inigualable.
Sus directores médicos son exponentes internacionales en su especialidad. Como ejemplo, el Dr. Jorge Alberto Morales Quispe, fundador, pediatra, cardiólogo pediatra, especialista en ecocardiografía fetal y pediátrica, científico, investigador, autor de múltiples artículos de investigación en revistas de alto impacto, hizo su formación en el Instituto Nacional de Cardiología “Dr. Ignacio Chávez”, Fellow de ecocardiografía en el Hospital Infantil de México “Dr. Federico Gómez”, y en el Hospital Pediátrico “William Soler” en la Habana, Cuba.

ECOCARDIOGRAFIA FETAL

Evaluación completa del corazón del bebé durante la vida fetal, para detectar o alejar anormalidades en la formación o en la función cardiaca.

ECOCARDIOGRAFIA PEDIATRICA

Estudio del corazón y de la circulación, desde el período de recién nacido hasta la adolescencia.

ECOCARDIOGRAFIA 3D 4D

Una innovación del examen 2D donde se obtiene imágenes tridimensionales del corazón del bebe.